Heliotrope rash
Bluish-purple discoloration on the face, eyelids, neck, shoulders, upper chest, elbows, knees, knuckles, and back of patients with dermatomyositis

Polymyositis and dermatomyositis comparison

Grotton nodules
Flat-topped, raised, nonpruritic lesions found over the dorsum of the MCP, PIP, and DIP in dermatomyositis/polymyositis
Pathology shows acanthosis and papillomatosis

Anti-Jo1
Antibody that recognizes cytoplasmic histidyl transferase RNA synthetase
Polymyositis
Dermatomyositis
EKG abnormalities in polymyositis/dermatomyositis
Historical symptoms of proximal muscle weakness
Upper extremity: Exhaustion with brushing teeth, dropping objects, difficulty reaching overhead
Lower extremity: Difficulty walking up stairs, difficulty rising from a seated position, using arm-rests to aid in standing from a seated position
“Shawl sign”
Describes the wrapping of the heliotrope rash around the neck, shoulders, and upper back with relative sparing of the lower chest and lower back

Calcinosis cutis
Seen in children with dermatomyositis
Development of dystrophic calcification in the softtissues and muscles, leading to skin ulcers, secondary infection, and joint contractures
Occurs less commonly in adults.

Inclusion body myositis

Generally speaking, the definitive diagnosis for any myopathy is ___
Generally speaking, the definitive diagnosis for any myopathy is muscle biopsy
Polymyositis and dermatomyositis you can get away with just demonstrating the presence of specific antibodies, if they are present
Diagnosis of inclusion body myositis
Diagnosis of polymyositis/dermatomyositis
Selecting a muscle to biopsy for suspected myositis syndrome
Should be an atrophied muscle that is likely to demonstrate the pathologic features of end-stage disease
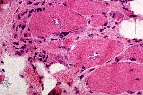
Pathologic hallmarks of inclusion body myositis

Drugs which may induce inflammatory myopathies
Polymyositis and dermatomyositis biopsies
Show chronic inflammation and complement deposition
Treatment of polymyositis/dermatomyositis/IBM
Most common new-onset myopathy in patients over the age of 50
Inclusion body myositis
Most common reason for a misdiagnosis of an inflammatory myopathy
Erroneous pathologic interpretation of the biopsy
A pathology problem!!!
Overlap myositis

Steroid myopathy
Non-inflammatory, corticosteroid-induced muscle wasting
Presents insidiously in proximal muscle groups with lesser effects on distal muscle groups.
Immune-mediated necrotizing myopathy
An inflammatory myopathy affecting the proximal skeletal muscles that is particularly severe and associated with a markedly elevated CK level. Progresses over weeks to months.
Associated with anti-SRP antibodies, which is the first-line diagnostic test. A anti-SRP negeative form may evolve out of some cases of dermatomyositis
Treatment is largely the same as for other inflammatory myopathies, but outcomes are worse.